Datasheet is currently unavailable. Try again or CONTACT US
Datasheet

LGR4 Antibody

Mouse Monoclonal 6G8.B3.G5.C3 IgG2b kappa

1 References
200-301-B45S 200-301-B45
25 µL 100 µg
Liquid (sterile filtered) Liquid (sterile filtered)
WB, ELISA, IHC
Human
Mouse
$125.00 /Per Item
$522.00 /Per Item
25 µL $125.00
100 µg $522.00
In stock
Ships next business day
In stock
Ships next business day
Shipping info:

$50.00 to US & $70.00 to Canada for most products. Final costs are calculated at checkout.

Product Details

Anti-LGR4 (MOUSE) Monoclonal Antibody - 200-301-B45
mouse anti-LGR4 antibody, mouse anti-LGR 4 antibody, leucine-rich repeat-containing G protein-coupled receptor 4
Mouse
Monoclonal
IgG2b

Target Details

LGR4  - View All LGR4 Products
Human
Conjugated Peptide
This monoclonal antibody was produced by repeated immunizations with a synthetic peptide corresponding to an internal region of human LGR4 protein. The hybridoma was produced by fusing BALB/c mouse splenocytes and mouse myeloma SP2/O cells using conventional technology.
Anti-LGR4 purified from concentrated tissue culture supernate by Protein A chromatography. This antibody is specific for human LGR4 protein. A BLAST analysis was used to suggest cross-reactivity with LGR4 from chimpanzee, orangutan and macaque based on 100% homology with the immunizing sequence. Cross-reactivity with LGR4 from other sources has not been determined.
Q8N537 - UniProtKB
157694513 - NCBI Protein
55366 - Gene ID

Application Details

ELISA, WB
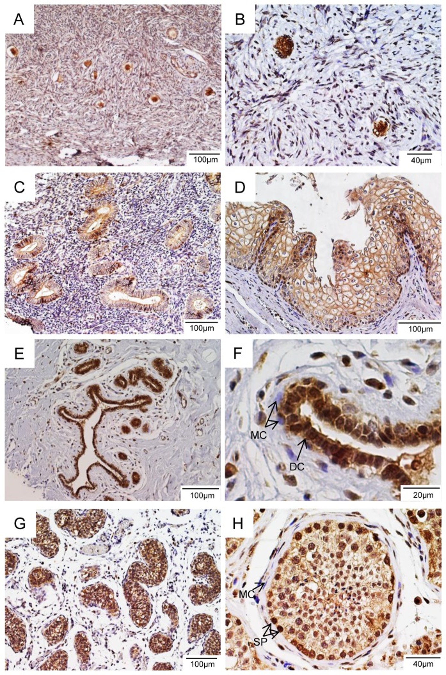
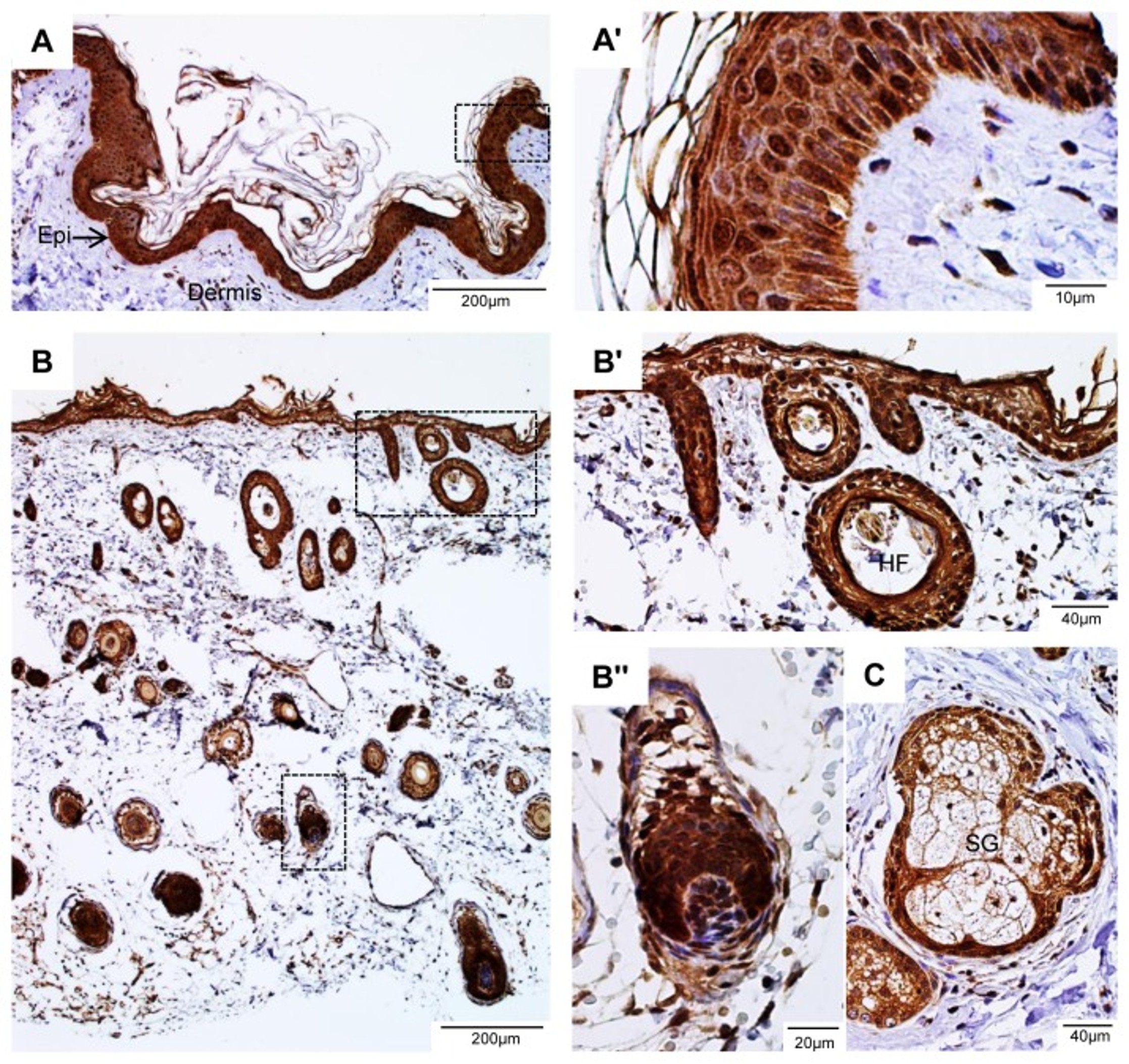
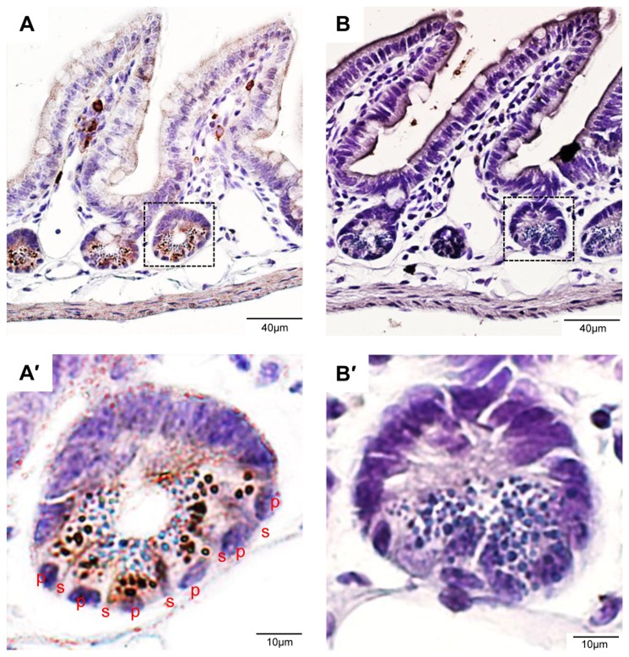
IHC  - View References
Anti-LGR4 monoclonal antibody has been tested by ELISA and western blot, and is suitable in immunohistochemistry. Expect a band approximately 102 kDa in size corresponding to LGR4 protein by western blotting in the appropriate cell lysate or extract. Specific conditions for reactivity should be optimized by the end user. Use formalin-fixed paraffin-embedded sections for immunohistochemistry. No pre-treatment of sample is required.

Formulation

1.03 mg/mL by UV absorbance at 280 nm
0.02 M Potassium Phosphate, 0.15 M Sodium Chloride, pH 7.2
0.01% (w/v) Sodium Azide
None

Shipping & Handling

Dry Ice
Store vial at -20° C prior to opening. Aliquot contents and freeze at -20° C or below for extended storage. Avoid cycles of freezing and thawing. Centrifuge product if not completely clear after standing at room temperature. This product is stable for several weeks at 4° C as an undiluted liquid. Dilute only prior to immediate use.
Expiration date is one (1) year from date of receipt.
LGR4, also known as leucine-rich repeat-containing G protein-coupled receptor 4, is a G protein-coupled receptors (GPCRs). GPCRs are membrane bound proteins that play key roles in a variety of physiologic functions. Members of the leucine-rich GPCR (LGR) family, such as GPR48, have multiple N-terminal leucine-rich repeats (LRRs) and a 7-transmembrane domain. LGR4 is an orphan GPCR reported to be expressed in steroidogenic tissues such as placenta, ovary, testis, adrenal, pancreas, prostate, and thyroid, as well as in spinal cord, stomach, heart, and kidney.
(). Analysis of LGR4 receptor distribution in human and mouse tissues. PLoS One.
Applications
WB, IB, PCA

Invalid lot number

If you need help finding your CoA, contact us

This product is for research use only and is not intended for therapeutic or diagnostic applications. Please contact a technical service representative for more information. All products of animal origin manufactured by Rockland Immunochemicals are derived from starting materials of North American origin. Collection was performed in United States Department of Agriculture (USDA) inspected facilities and all materials have been inspected and certified to be free of disease and suitable for exportation. All properties listed are typical characteristics and are not specifications. All suggestions and data are offered in good faith but without guarantee as conditions and methods of use of our products are beyond our control. All claims must be made within 30 days following the date of delivery. The prospective user must determine the suitability of our materials before adopting them on a commercial scale. Suggested uses of our products are not recommendations to use our products in violation of any patent or as a license under any patent of Rockland Immunochemicals, Inc. If you require a commercial license to use this material and do not have one, then return this material, unopened to: Rockland Inc., P.O. BOX 5199, Limerick, Pennsylvania, USA.

Related products to: LGR4 Antibody